Le cabinet

Un plateau technique à la pointe de la technologie

Notre philosophie de soin repose sur une expertise approfondie et une spécialisation pointue. Nos orthodontistes expérimentés utilisent des techniques de pointe pour assurer des résultats durables et optimaux. Chaque patient bénéficie d’un plan de traitement personnalisé, adapté à ses besoins spécifiques. Nous mettons un point d’honneur à créer un environnement accueillant et apaisant. 

Notre mission est de garantir des sourires sains et harmonieux, témoignant de notre engagement envers l’excellence.

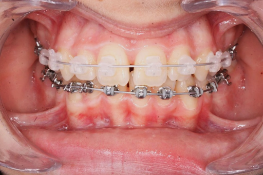
Bagues céramiques

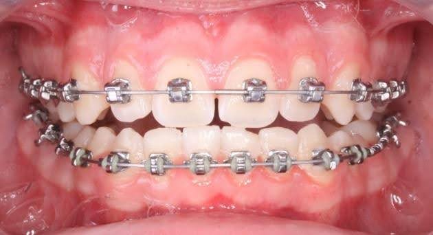
Bagues métalliques

Gouttières d'alignement

Technique linguale

Afin de respecter les normes de sécurité et réaliser au mieux vos traitements, notre cabinet d’orthodontie est équipé d’un matériel de haute technologie :

 

    • Appareil de radiologie numérique de type Cone Beam (3D) low dose moyen champ, de dernière génération.
    • Salle de stérilisation aux normes les plus strictes : décontamination, thermo désinfection, mise sous sachets et cassettes, stérilisation. La traçabilité des dispositifs médicaux est assurée grâce à l’étiquetage par code-barre. L’efficacité de la stérilisation est mesurée par des tests journaliers, hebdomadaires, et contrôlée annuellement.
    • Laser Diode.
    • Système de prise d’empreintes numériques pour votre confort et leur niveau de précision.
    • Équipement complet de photographie numérique haute résolution. 
    • Utilisations des logiciels d’ analyse et simulation des résultats.
    • Laboratoire avec imprimantes 3D pour réaliser les gouttières thermoformées.

 

Un suivi pensé pour vous

Dans le but de réaliser votre traitement dans les meilleures conditions, un temps important est consacré à l’écoute, l’explication et l’accompagnement. Nous serons toujours à votre disposition pour discuter de votre suivi, si vous le jugez nécessaire.
Notre vision est pluridisciplinaire. Nous travaillons en étroite collaboration avec des ORL, des Chirurgiens maxillo-faciaux, des Kinésithérapeutes, des Orthophonistes, et des Chirurgiens-dentistes émérites, afin de traiter les cas les plus complexes .
Nous accordons une importance particulière à la systématisation de la documentation (avant, pendant et après traitement). La réévaluation à mi-parcours nous permet de valider la bonne progression du traitement et l’obtention des objectifs fixés lors du diagnostic.

Une hygiène irréprochable

Notre engagement envers l’hygiène est une priorité absolue. Nos salles blanches sont maintenues selon les normes les plus strictes pour assurer un environnement stérile. Le matériel est rigoureusement désinfecté après chaque utilisation, garantissant la sécurité de nos patients. Nos professionnels portent des équipements de protection individuelle pour chaque intervention. Nous appliquons des protocoles de nettoyage et de désinfection minutieux, afin de prévenir toute contamination. Notre objectif est d’offrir des soins dans un cadre sûr et hygiénique, assurant la tranquillité d’esprit de nos patients.

Un cadre idéal

Notre cabinet moderne offre un cadre exceptionnel. Nous sommes fiers de notre toit-
terrasse, un espace unique où les patients peuvent se détendre avant ou après leurs
rendez-vous. L’architecture et le design intérieur allient élégance et fonctionnalité,
créant une atmosphère apaisante et professionnelle. Chaque détail est pensé pour
assurer votre confort et bien-être. Une connexion Wifi est à votre disposition.

Galerie photo